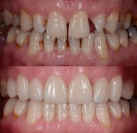
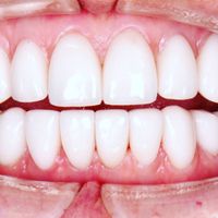
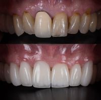
Smile Makeover
Bespoke treatment plan tailored especially for you. Please book your consultation and we will discuss your best options.
During the detailed consultation we find out what you hope to achieve and examine the colour, alignment, and shape of your teeth.
We then discuss all the treatment options with you and answer any of your questions. We analyse your facial proportions and may suggest adjustments to your teeth to create better symmetry.
We may recommend one or more of the following treatments:
Cosmetic Bonding
Veneers
Crowns
Implants
Clear Aligners
Teeth Whitening
